CALM

KIND

CARING

MINIMALLY INVASIVE DENTAL AESTHETICS

ABOUT

DR. CHLOE KASSIS-CROWE

Dr. Chloe Kassis-Crowe is an award winning minimally invasive restorative and aesthetic dentist. Based between London and Dublin, she is the cosmetic specialist for Smiles Dental for their 26 practices countrywide and has now expanded her services to Harley Street. In 2018, she won the Irish Dentistry Rising Star Award and was published in the British Academy of Cosmetic Dentistry International Journal of Cosmetic Dentistry. She is the only dentist currently in the UK and Ireland with this unique 3 years of training, a masters of advanced science in minimally invasive aesthetic dentistry, a training from the world leading and pioneering University of Geneva. 

MINIMALLY INVASIVE NATURAL AESTHETICS

PHILOSOPHY

TIME

Too many people have been to drill and fill dentists and hence only go when in pain. George Bernard Shaw said "the single greatest problem in communication is the illusion it has taken place". Dr. Chloe loves to get to know her patients, and this begins during her video consult before your first visit. Trust requires taking more time from the start listening and gathering all the information to have enjoyable visits with great results. 

KINDNESS

ARTISTRY

TECHNOLOGY

TIME

"Never look down on anyone unless you're helping them up". A patient and their dentist are on the journey together. Dr. Chloe strives to be as gentle as possible and to make her patients feel comfortable. Her patients regularly fall asleep during treatment as they disconnect from work, listen to music or catch-up on their latest TV series. Harley Street includes a BOSE sound system, flatscreen TV & Netflix.

KINDNESS

ARTISTRY

TECHNOLOGY

TIME

Your smile is your story. Biomimetics is the philosophy where mimicry of biology and function leads to the best natural aesthetic results. The 'one smile fits all' approach leads to disappointment. An aesthetic dentist must be a doctor, engineer and an artist. Dr. Kassis-Crowe believes less is more. With a multi-disciplinary minimally invasive approach, she helps patients achieve healthy natural looking smiles. 

KINDNESS

ARTISTRY

TECHNOLOGY

TIME

Dr. Chloe values keeping up to date and on the cutting edge of the latest dental technology. She uses digital dentistry in all aspects of her work. She uses digital X-ray, intra-oral and SLR cameras, Digital Smile Design & Impressions, and 3D printing. Payment, booking reminders and post-operative and hygiene instructions are all done online to offer her patients the highest standards of care. 

KINDNESS

ARTISTRY

TECHNOLOGY

"I couldn't be happier with the results"

My teeth are unrecognizable from when we started. I feel extremely fortunate to have met her that first day and will always be grateful for the fantastic work she has done to bring out the best in my teeth.

Shane Ryan

"I FINALLY FOUND A SKILLED AND LOVELY DENTIST!"

I visited Chloe recently as a new patient requiring treatment and had multiple dental treatments. I felt extremely ease with Chloe, she is very reassuring and professional. Chloe really strives to help patients and is willing to share her knowledge in order to prevent further problems. Also, back in the Netherlands I am used to dentists who try to book in as many patients as possible in a certain time frame, here I feel that Chloe takes her time and takes time to educate patients about maintaining your teeth and gums well.

TALITA BOLHUIS

“PAINLESS, NATURAL AND ONE APPOINTMENT”

I always felt injections before seeing Dr. Chloe. We covered a lot during our video consult, and so then when I came in to see her, she was able to take the X-rays and go straight into fixing my cracked tooth. She's an artist, it's like nothing ever happened. Painless, natural and one appointment.

CATHERINE LAMONT

"SHE MADE ME FEEL SO COMFORTABLE"

I’m am delighted I went to Dr. Chloe Kassis Crowe. She is beyond talented. I never had any confidence in my smile with an old root canal that made my tooth very grey. She fixed my front tooth and you don't notice it anymore. She recommended a few whiting products they had and I went for the Enlighten system and wow I can see they are getting whiter. Worth every penny. She made me feel so comfortable, even asks what type of music I like and she plays it out out loud while doing a deep clean on my teeth which I thought was fantastic. I cannot recommend her enough.

PHILIP THAI LE

"SHE PUT ME COMPLETELY AT EASE FROM THE VERY BEGINNING"

Can’t commend Chloe enough! As an extremely nervous patient who has always feared dentists and avoided them for years, she put me completely at ease from the very beginning. I was extremely self conscious about my teeth having had substantial enamel damage and chipping and had visited dentists in the past who recommended extensive and costly dental work. Chloe was ever so patient and genuinely cared and over the past year has transformed my teeth to a level I never thought possible through a non invasive affordable treatment plan.

KATIE LAWLOR

OUR TREATMENTS

CONSULTATION

Full consultation with specialist Dr Chloe Kassis-Crowe. The consultation cover clinical assessment, xrays, clinical pictures and treatment plan.

£100

BONDING

Gum recession bonding 

£90

Cosmetic bonding

 from £300

BLEACHING & TEETH WHITENING

Grey tooth internal bleaching

£300

Enlighten whitening

£700

FILLINGS & INLAY/ONLAYS

Composite fillings

£150 – £300

Composite inlay/onlay

£400 – £600

Ceramic inlay/onlay

£600 – £800

Cerec 3D printing same day restoration is available in some cases.

VENEERS

Composite veneer

£600 – £800

Porcelain veneer

£1,100

Cerec 3D printing same day restoration is available in some cases.

CROWNS & BRIDGES

Crown

£850 – £1.100

Fixed bridge

£850 – £1.100 per unit

Implant crown

£1,400

Cerec 3D printing same day restoration is available in some cases.

BOOK ONLINE

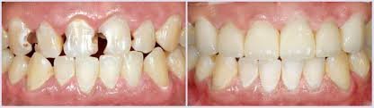
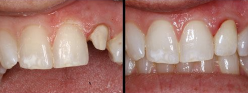
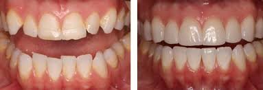
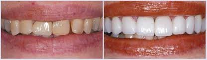
VIEW BEFORE & AFTERS

BEFORE & AFTER

THE PRACTICE

LONDON

DUBLIN

Located in Marylebone's famous medical district, Dr. Chloe sees her patients in her spacious surgery on Harley Street. It includes a flat screen TV, Netflix and Bose sound system. All appointments are booked online, and all consultations include an initial video consultation with Dr. Chloe before your visit. 

Find Us

The Harley Clinic
130 Harley Street 
London, W1G 7JU130 
United Kingdom

Contact Us

+44 20 12343 234
hello@thisisemail.com

Book Online →

LONDON

DUBLIN

Based in Dublin's city centre, between the River Liffey and Grand Canal Dock, home to Europe's Tech Headquarters and Dublin's Financial District, Dr. Chloe takes referrals to the beautiful and spacious Forbes Street Smiles branch. With 3D printing on-site, avail of same-day crowns, veneers and restorations that are designed by Dr. Chloe. 

Find Us

Smiles Dental Grand Canal Square,
The Marker Residences, 
2 Forbes Street, 
Dublin, Ireland

Contact Us

+3535250680
grandcanalsquare@smiles.ie

Book Online →

Bonding

Bonding is a term used for doing small adjustments to tooth colour, shape and size in minimal amounts by using chemical adhesion of a white tooth coloured composite material. This is an excellent minimally invasive option that requires little to no tooth substance removal. It is not appropriate in every situation and this can be discussed during your consultation. 

BOOK ONLINE

CONTACT US

Consultation

This is the beginning of your journey to excellent oral health and we consider this the most important step. Our consultation process includes 3 parts, the questionnaire, the video consult and the full records visit. Upon booking your video consultation you will receive an online questionnaire to fill out. During the video consult Dr. Chloe and you get acquainted and you will review the questionnaire. We then will outline what you are looking to achieve; understand if there is any urgent or prior treatment required; and ensure the right amount of time is allocated so we may make the most out of your visit to the practice. This video consult is up to an hour long and the visit when you come to see us initially is 30-40 mins. We do a thorough clinical examination including: head and neck exam, full tooth charting, oral hygiene and gum assessment and take all the intra-oral X-rays and digital scans and photos we need to plan your treatment. We then send you your treatment plan digitally. Should you have any questions we can schedule a short 15 minute video consult to talk through anything you may not understand. This is what we feel a full consultation should be. We don't just treat a set of teeth but a person as a whole. We will help connect the dots between your oral health, your nutrition, physical and mental health. Our aim is for you to have full confidence behind your smile.

BOOK ONLINE

CONTACT US